Can Lung Cancer Be Mistaken For Pulmonary Embolism : Surprising Lung Cancer Symptoms - Copd is a term used for a group of obstructive lung diseases.
Dapatkan link
Facebook
X
Pinterest
Email
Aplikasi Lainnya
Can Lung Cancer Be Mistaken For Pulmonary Embolism : Surprising Lung Cancer Symptoms - Copd is a term used for a group of obstructive lung diseases.. If the clot stays in the leg, it can cause swelling or pain. Blood clots that form in a leg vein cause a problem known as venous thromboembolism, or vte. Lung cancer is the last thing a doctor thinks to look for in young, nonsmoking women, says gerold bepler, m.d., director of the comprehensive lung cancer research center at the moffitt cancer. Large or multiple blood clots can be fatal. Embolism along central vessels would produce larger areas that would not be mistaken as a nodule because of its characteristic pattern.
This is called a pulmonary embolism (pe), and it can be deadly if it cuts off blood supply. One in the brain can cause a stroke. A dvt blood clot can break free and travel through your bloodstream to your lungs. When a dvt forms, it can partially or completely block the flow of blood through the vein. Lung cancer, lung infections (bacterial and viral pneumonia, bronchitis), pulmonary embolism (blood clot), pleurisy (inflamed lung membranes), punctured lung and pulmonary hypertension (high blood pressure in the lungs).
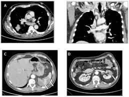
Left Lung Cancer In A Patient With Congenital Unilateral Absence Of The Left Pulmonary Artery A Case Report And Literature Review World Journal Of Surgical Oncology Full Text from media.springernature.com This, in turn, may cause collapse of the air sacs surrounding the tumor. The medical name for these blood clots is a pulmonary embolism (pe). Embolism along central vessels would produce larger areas that would not be mistaken as a nodule because of its characteristic pattern. Pulmonary embolism is commonly misdiagnosed as lung cancer, since sputum cytological tests often show atypical or malignant cells. The severity of pe depends primarily on two factors: At moffitt cancer center, the multispecialty team in our thoracic oncology program ensures a high level of accuracy by offering a full range. Although initially appearing as distinct entities, lung cancer is a great risk factor for the development of pe. Many lung conditions / diseases can cause chest pain, including:
If it breaks away and travels to the lungs, it can cause a potentially deadly pulmonary embolism.
Blood clots that form in a leg vein cause a problem known as venous thromboembolism, or vte. Copd is a term used for a group of obstructive lung diseases. This means that a doctor. Lung cancer is the most frequently diagnosed cancer and the leading cause of cancer death among males worldwide. When pleurisy occurs because of lung cancer, a bloody pleural effusion is common. Pulmonary embolism (pe) is gradually considered to be the third most common disease in the vascular disease category. Although initially appearing as distinct entities, lung cancer is a great risk factor for the development of pe. A pulmonary embolism is a blood clot that occurs in the lungs. This happens in only a small percentage of pulmonary embolism cases, but it can be fatal. It can damage part of the lung due to restricted blood flow, decrease oxygen levels in the blood, and affect other organs as well. Will my mom, who has lung cancer, have a higher chance of getting a pulmonary embolism on a flight? Lung cancer, lung infections (bacterial and viral pneumonia, bronchitis), pulmonary embolism (blood clot), pleurisy (inflamed lung membranes), punctured lung and pulmonary hypertension (high blood pressure in the lungs). One in the brain can cause a stroke.
This, in turn, may cause collapse of the air sacs surrounding the tumor. The medical name for these blood clots is a pulmonary embolism (pe). When left undiagnosed and untreated, patients with pulmonary embolism will not survive. Clinical characteristics and outcomes of lung cancer with pulmonary embolism. Lung cancer is the most frequently diagnosed cancer and the leading cause of cancer death among males worldwide.
Raising Awareness About Pulmonary Embolism from www.uspharmacist.com However, it can occur in other heart and lung diseases. If it breaks away and travels to the lungs, it can cause a potentially deadly pulmonary embolism. Although initially appearing as distinct entities, lung cancer is a great risk factor for the development of pe. A misdiagnosis of early symptoms can significantly impact a patient's outcome and quality of life. Pulmonary lymphoma / lung cancer; Copd is a term used for a group of obstructive lung diseases. When sarcoidosis affects the lungs, symptoms can mimic idiopathic pulmonary fibrosis including shortness of breath and a dry cough. Tuberculosis (tb) many of these conditions will grow rapidly worse without prompt and adequate treatment.
This can lead to shortness of breath, swelling and pain in the lower legs.
Will my mom, who has lung cancer, have a higher chance of getting a pulmonary embolism on a flight? Many lung conditions / diseases can cause chest pain, including: Lung cancer is the most frequently diagnosed cancer and the leading cause of cancer death among males worldwide. A chronic problem usually indicates that the person has small emboli. These clots can cut off the lungs' blood supply, leading to death. Tuberculosis (tb) many of these conditions will grow rapidly worse without prompt and adequate treatment. Lung cancer is the last thing a doctor thinks to look for in young, nonsmoking women, says gerold bepler, m.d., director of the comprehensive lung cancer research center at the moffitt cancer. A blood clot in one of the large veins, usually in a person's leg or arm, is called a deep vein thrombosis, or dvt. A misdiagnosis of early symptoms can significantly impact a patient's outcome and quality of life. Hi, this is possible if the embolism occurs along the periphery. Lung cancer is a common cause of finger clubbing; Embolism along central vessels would produce larger areas that would not be mistaken as a nodule because of its characteristic pattern. If a dvt is not treated, it can break off and travel to the lungs.
Lung cancer — pleurisy can develop in people with lung cancer. A blood clot in the lungs is called a pulmonary embolism, or pe. Pulmonary embolism is commonly misdiagnosed as lung cancer, since sputum cytological tests often show atypical or malignant cells. This can lead to shortness of breath, swelling and pain in the lower legs. Deprived of oxygen, that section of lung tissue dies, causing a certain amount of permanent damage to the lungs.
Pdf Primary Lung Cancer With Growth Into The Lumen Of The Pulmonary Artery from i1.rgstatic.net Lung cancer is the last thing a doctor thinks to look for in young, nonsmoking women, says gerold bepler, m.d., director of the comprehensive lung cancer research center at the moffitt cancer. Sarcoidosis is a rare condition that is often misdiagnosed as malignant tumors due to the similar clinical manifestations and imaging findings. Various organs can be affected including the skin, lymph nodes, and liver. Clinical characteristics and outcomes of lung cancer with pulmonary embolism. Lung cancer is the most frequently diagnosed cancer and the leading cause of cancer death among males worldwide. This means that a doctor. Dvts and pes together are sometimes called venous thromboembolism (vte). This, in turn, may cause collapse of the air sacs surrounding the tumor.
Chew hk, davies am, wun t, et al.
Copd is a term used for a group of obstructive lung diseases. A blood clot in the lungs is called a pulmonary embolism, or pe. Pulmonary embolism (pe) is gradually considered to be the third most common disease in the vascular disease category. The size of the blockage and the speed of diagnosis and treatment. In people who have cancer blood clots can also form in long lines or central lines such as a picc line. A blood clot in a coronary artery can cause a heart attack. Concluded that 3.7% of people with lung cancer develop pe. If a dvt is not treated, it can break off and travel to the lungs. However, it can occur in other heart and lung diseases. In people with pulmonary embolism, symptoms of pleurisy tend to occur when the pulmonary embolism is fairly small and has lodged in a part of the lungs near the pleura. Embolism along central vessels would produce larger areas that would not be mistaken as a nodule because of its characteristic pattern. Lung cancer is a common cause of finger clubbing; One in the brain can cause a stroke.
While some may celebrate christmas in july, as a rabbi and small business owner, i've been celebrating hanukkah in july: Posted on 1 tháng mười hai, 2021 by ngô hoàng. Christmas ornements 2021 captures the essence of this very difficult period . 30 days free exchange or return. Young family of four gathered together on a christmas morning wearing pajamas unwrapping christmas gifts. randomguy10001 User Profile | DeviantArt from images-wixmp-ed30a86b8c4ca887773594c2.wixmp.com 30 days free exchange or return. Buy inflation christmas family pajamas matching sets for girls boys red flannel 18 month from pyjama sets at amazon.in. Festive pyjamas are perfect to . Hometown christmas event on main . Check out our favorite hanukkah holiday jammies options for the entire family — for one or eight nights! While some may celebrate christmas in july...
How Do U Know If U Have Uterine Cancer - How Do I know If I Have Breast Cancer? - Let Life Happen - Uterine cancer may cause vaginal discharge or bleeding that is not normal for you. . Your bladder and bowels can be a good indicator of uterine problems, and that includes cancer. (this layer is called the myometrium.) hysteroscopy: The uterus is filled with salt water so the doctor can see the lining better. Tvus may also help see if cancer is growing into the muscle layer of the uterus. This is done in a procedure that is similar to getting a pap smear. A ct or mri may show the location and size of the tumor, and if the cancer has spread. Before your doctor decides your stage, they'll use tests, such as a biopsyand ultrasound, to find what type of uterine cancer you have. This is done in a procedure that is similar to getting a pap smear. It depends on the kind of uterine cancer and how far it has spread. Sometimes, women with uterine cancer do not have any of th...
What Do Cancers Like In A Woman : We're proud of our mastectomy scars - The Irish Sun : When a cancer woman lets you in, she will shower you with warmth and love. . Become possessive (in a good way). (that is, they share a common ancestry embyologically, and they are both gonads and endocrine glands) depending on how one interprets it, it is theoretically possible for a woman to have to have. Which tokyo revengers character are you? What a scorpio man likes in a scorpio woman is her personality that is similar to his. If yes, then you surely know that learning about signs in the zodiac chart helps getting clues about one's behavior and personality. Will be there for you. Aries loves to dish out what they know. What a cancer man is into and not into in a woman. If yes, then you surely know that learning about signs in the zodiac chart helps getting clues about one's behavior and personality. This similarity allows them to understand each other well. ...
Komentar
Posting Komentar