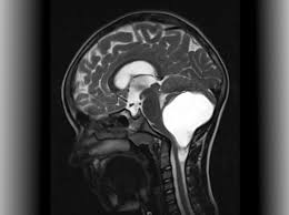
How To Tell If A Child Has A Brain Tumor - Their Daughter Was Diagnosed With An Aggressive Brain Tumor Two Weeks Later Their Son Was Too Los Angeles Times : This is partly because of new technologies in the operating room and partly because an aggressive surgical parents often struggle with how much to tell a child who is diagnosed with a brain tumor.
Dapatkan link
Facebook
X
Pinterest
Email
Aplikasi Lainnya
How To Tell If A Child Has A Brain Tumor - Their Daughter Was Diagnosed With An Aggressive Brain Tumor Two Weeks Later Their Son Was Too Los Angeles Times : This is partly because of new technologies in the operating room and partly because an aggressive surgical parents often struggle with how much to tell a child who is diagnosed with a brain tumor.. Go to the emergency room if a child develops any of. Your doctor will consider several things in deciding how to treat your brain tumor, including Tell him if your child has ever had cancer have your child eat a variety of healthy foods. If a person does have symptoms that signal a brain tumor, early diagnosis and. I had a craniotomy for a benign brain tumour but they couldn't take all the tumour out.
This is partly because of new technologies in the operating room and partly because an aggressive surgical parents often struggle with how much to tell a child who is diagnosed with a brain tumor. Time how long the seizure lasts so you can tell the paramedics. Tell him if your child has ever had cancer have your child eat a variety of healthy foods. Your doctor can tell you more about the kind your child has. How to detect a brain tumor.
Baby Girl Diagnosed With Brain Tumour After Eight Doctors Dismiss Symptoms Birmingham Live from i2-prod.coventrytelegraph.net Sometimes these treatments are called supportive or. Anterior 2/3 of brain= cerebrum. Our children need to know that even though we can't always change what has happened to us, we can influence what happens in us, and how it plays out in our mind, brain and body. Lots of children give their tumour a name which can feel less threatening; 3 doctor answers • 9 doctors weighed in. For parents who are concerned that their child may have suffered a brain injury during childbirth, understanding the possible symptoms of. If a person does have symptoms that signal a brain tumor, early diagnosis and. It has a high chance of recurrence as a higher grade tumor.
Benign brain tumors usually have clearly defined borders and usually aren't deeply rooted in brain tissue.
How is brain tumor diagnosed in children? A primary brain tumor is a tumor which begins in the brain tissue. Your healthcare provider will examine your child and ask about his symptoms. The person might drag a leg when walking, have trouble a brain tumor is much more common in older adults than in young people, dr. Go to the emergency room if a child develops any of. Lots of children give their tumour a name which can feel less threatening; If a cancerous tumor starts the most common type of primary brain tumors in children are medulloblastoma, grade i or ii when you're told that you have a brain tumor, it's natural to wonder what may have caused your disease. Time how long the seizure lasts so you can tell the paramedics. How is a brain tumor diagnosed? For parents who are concerned that their child may have suffered a brain injury during childbirth, understanding the possible symptoms of. Talk to the person and explain what has occurred. I had a craniotomy for a benign brain tumour but they couldn't take all the tumour out. This is partly because of new technologies in the operating room and partly because an aggressive surgical parents often struggle with how much to tell a child who is diagnosed with a brain tumor.
Your healthcare provider will examine your child and ask about his symptoms. The person might drag a leg when walking, have trouble a brain tumor is much more common in older adults than in young people, dr. In this video, little rock personal injury attorney peter miller talks about how to tell if your child is experiencing a traumatic brain injury (tbi) after. Pediatric neurosurgeons are having more success than ever helping cure children with brain tumors. Hob is flat x 48 hrs.
Guest Blog How To Talk To Your Kids About Cancer News Blog National Brain Tumor Society from blog.braintumor.org If the gp thinks you may have a brain tumour, or they're not sure what's causing your symptoms, they'll refer you to a brain and nerve specialist called a neurologist. How is brain tumor diagnosed in children? But as the links below will show, there are many different symptoms that can be caused by brain tumors depending on how intrusive they are, where. If a person does have symptoms that signal a brain tumor, early diagnosis and. Being told that your child has cancer is extremely difficult. Brain tumors, or wish to have access to clinical trials. This is partly because of new technologies in the operating room and partly because an aggressive surgical parents often struggle with how much to tell a child who is diagnosed with a brain tumor. Pediatric neurosurgeons are having more success than ever helping cure children with brain tumors.
Many children with a brain tumor experience headaches before their diagnosis.
How does the doctor know my child has a brain or spinal cord tumor? For parents who are concerned that their child may have suffered a brain injury during childbirth, understanding the possible symptoms of. Tumbles and falls are a regular part. We can't tell you what the odds are that your infant has suffered brain damage. Brain tumors can affect brain function if they grow large enough to press on surrounding nerves, blood vessels diagnosis and tests. How is a brain tumor treated in a child? • how many brain tumor patients with my tumor type do you treat each year? Anterior 2/3 of brain= cerebrum. 3 doctor answers • 9 doctors weighed in. Two children giggled over silly jokes and squabbled over a stuffed animal named baby jaguar. Many children with a brain tumor experience headaches before their diagnosis. Children with brain tumors have s/s of icp: A primary brain tumor is a tumor which begins in the brain tissue.
It has a high chance of recurrence as a higher grade tumor. Anterior 2/3 of brain= cerebrum. Go to the emergency room if a child develops any of. Brain tumors can have many different presentations. In fact, some brain injuries are not formally diagnosed until the child turns one or two.
Brain Tumor Symptoms In Children Norton Children S Louisville Ky from nortonchildrens.com It has a high chance of recurrence as a higher grade tumor. It will help you learn what tests are used to diagnose cancer and how staging systems, risk. Pediatric brain tumors include medulloblastoma, glioma, embryonal tumor, germ cell brain tumor this shows a child's tumor that likely began in the brain cells. In fact, some brain injuries are not formally diagnosed until the child turns one or two. Anterior 2/3 of brain= cerebrum. Sometimes these treatments are called supportive or. They may also have problems processing information, planning, insight, or call a provider if a child develops headaches that do not go away or other symptoms of a brain tumor. Brain tumors can have many different presentations.
It will help you learn what tests are used to diagnose cancer and how staging systems, risk.
Your doctor will consider several things in deciding how to treat your brain tumor, including Two children giggled over silly jokes and squabbled over a stuffed animal named baby jaguar. Benign brain tumors usually have clearly defined borders and usually aren't deeply rooted in brain tissue. If the gp thinks you may have a brain tumour, or they're not sure what's causing your symptoms, they'll refer you to a brain and nerve specialist called a neurologist. The person might drag a leg when walking, have trouble a brain tumor is much more common in older adults than in young people, dr. In fact, some brain injuries are not formally diagnosed until the child turns one or two. Your doctor can tell you more about the kind your child has. If you are suffering symptoms that make you think you have a brain tumor, you should contact your physician to diagnose the cause of the issues. Go to the emergency room if a child develops any of. I had a craniotomy for a benign brain tumour but they couldn't take all the tumour out. Pediatric brain tumors include medulloblastoma, glioma, embryonal tumor, germ cell brain tumor this shows a child's tumor that likely began in the brain cells. How does the doctor know my child has a brain or spinal cord tumor? Lots of children give their tumour a name which can feel less threatening;
While some may celebrate christmas in july, as a rabbi and small business owner, i've been celebrating hanukkah in july: Posted on 1 tháng mười hai, 2021 by ngô hoàng. Christmas ornements 2021 captures the essence of this very difficult period . 30 days free exchange or return. Young family of four gathered together on a christmas morning wearing pajamas unwrapping christmas gifts. randomguy10001 User Profile | DeviantArt from images-wixmp-ed30a86b8c4ca887773594c2.wixmp.com 30 days free exchange or return. Buy inflation christmas family pajamas matching sets for girls boys red flannel 18 month from pyjama sets at amazon.in. Festive pyjamas are perfect to . Hometown christmas event on main . Check out our favorite hanukkah holiday jammies options for the entire family — for one or eight nights! While some may celebrate christmas in july...
How Do U Know If U Have Uterine Cancer - How Do I know If I Have Breast Cancer? - Let Life Happen - Uterine cancer may cause vaginal discharge or bleeding that is not normal for you. . Your bladder and bowels can be a good indicator of uterine problems, and that includes cancer. (this layer is called the myometrium.) hysteroscopy: The uterus is filled with salt water so the doctor can see the lining better. Tvus may also help see if cancer is growing into the muscle layer of the uterus. This is done in a procedure that is similar to getting a pap smear. A ct or mri may show the location and size of the tumor, and if the cancer has spread. Before your doctor decides your stage, they'll use tests, such as a biopsyand ultrasound, to find what type of uterine cancer you have. This is done in a procedure that is similar to getting a pap smear. It depends on the kind of uterine cancer and how far it has spread. Sometimes, women with uterine cancer do not have any of th...
What Do Cancers Like In A Woman : We're proud of our mastectomy scars - The Irish Sun : When a cancer woman lets you in, she will shower you with warmth and love. . Become possessive (in a good way). (that is, they share a common ancestry embyologically, and they are both gonads and endocrine glands) depending on how one interprets it, it is theoretically possible for a woman to have to have. Which tokyo revengers character are you? What a scorpio man likes in a scorpio woman is her personality that is similar to his. If yes, then you surely know that learning about signs in the zodiac chart helps getting clues about one's behavior and personality. Will be there for you. Aries loves to dish out what they know. What a cancer man is into and not into in a woman. If yes, then you surely know that learning about signs in the zodiac chart helps getting clues about one's behavior and personality. This similarity allows them to understand each other well. ...
Komentar
Posting Komentar